您的位置: 影像科 科普知识详细

做腹部CT扫描时为什么要喝那么多水?

发布时间:2018-11-29

    每天早上放射科候诊室都挤满了患者,而早上大多数患者都是做全腹部CT扫描,做检查之前的胃肠道准备大家都清楚吗?特别是临床的消化科医生。做好了胃肠道准备后,来到放射科,依然要求喝大量清水或对比剂(急诊除外),但是每次叫患者喝水的时候,部分患者及其不配合,喝了2杯(一次性纸杯)后都说:我自己喝饱了,要呕了,为什么还要叫我喝水?

     

    很多临床医师或者患者都想尽快做检查,但是对于腹部CT来说,检查做得快并不等于就能诊断的好,影像科医师对于CT图像的质量是有要求的。不符合规范的图像可以要求患者重做。对此,今天我来讲讲为什么做腹部CT扫描时,为什么要做胃肠道准备?为什么要喝很多水?

     

    在腹部CT扫描前做好胃肠道准备的目的,一句话来说,就是要看好胃肠道,看看有没有长东西,把胃肠道充盈起来。在中华医学会腹部扫描规范指南里对各空腔脏器做出了具体的要求,针对16层CT扫描。

     

    
        
            
                
                    
                        

                            01                         

                        

                            常规胃扫描                         

                    
                
            
        
        
            

                              

        
    

     

    检查前禁食4-6 h,口服对比剂:检查前10 min口服温水或1.5%-2.0%碘对比剂溶液(500-1000 mL)。扫描前静脉或肌内注射山莨菪碱20 mg。

     

    而对于我们科室来说,喝的就是温开水,按照指南要喝500-1000 mL,所以喝2杯是远远不够的,能喝尽量喝多一点,把胃壁撑开,就可以看看有没有长东西了。我们用CT图来说明问题。

     

     

    

     图1     

                           

    

    图2

     

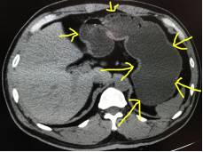
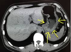
    如上图1:黄色箭头指的就是胃,这是一个没有喝水,没有充盈好的胃,我们可以看到箭头指的胃壁是明显厚的,正常的胃壁也是厚的,但是如果里面隐藏长着东西,刚好胃壁这里有个小胃癌,那就没办法诊断了,就会导致漏诊。

     

    再看看图2:这个患者胃肠道准备做得很好,我们可以看到一样是黄色箭头里指的胃,里面装的都是水,胃壁被填充成薄薄的一层了,如果长东西胃壁异常增厚,那么就可以一目了然了。

     

    
        
            
                
                    
                        
                            
                                

                                    02                                 

                                

                                    小肠常规扫描                                 

                            
                        
                    
                
            
        
    

     

    肠道准备:扫描前一天下午5点口服20%甘露醇500 mL,6点口服清水1000 mL,9点口服酚酞200 mg,检查当日禁食早餐,早晨开塞露1支塞肛,排尽大便。口服对比剂:检查前45 min开始口服对比剂,约每15 min口服等渗甘露醇500 mL。扫描前静脉或肌内注射山莨菪碱20 mg。

     

    小肠的扫描规范略复杂,我想很多医院都没办法按照规范来做,一般都能做到口服甘露醇或者清洁灌肠,目的就是为了排空小肠里的内容物,塞开塞露,也是为了排空大肠里的粪便,有利于观察肠道。

     

    

    图3

     

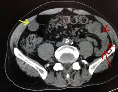
    如图3:这是一个未按规范做的患者,红色箭头可见未被水充盈而聚集的小肠,这时候就很容易漏了这里的病灶。而黄色箭头的是被水充盈的一小部分肠管,小肠壁是薄的。

     

    
        
            
                
                    
                        
                            
                                

                                    03                                 

                                

                                    结直肠扫描                                 

                            
                        
                    
                
                
                    

                                              

                
            
        
    

    肠道准备:扫描前一天下午5点口服20%甘露醇500 mL,6点口服清水1000 mL,9点口服酚酞200 mg,检查当日禁食早餐,早晨开塞露1支塞肛,排尽大便。肠道对比剂:检查前使用低张药后注入空气约2000 ml。扫描前静脉或肌内注射山莨菪碱20 mg。

     

    结直肠就是我们所谓的大肠,里面装的都是经过消化吸收之后残留的粪便组织,开塞露是为了排尽这些大便,而向肛门注入空气是为了把结直肠充盈起来,而我们科室最常用的方法是注入清水。

     

     

     

    图4

     

    
    图5

     

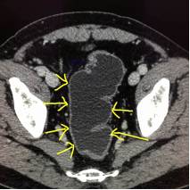
    如图4:红色箭头指的就是未做胃肠道准备的患者,可见聚集的直肠明显增厚,这一段肠管很容易被认为是增厚的病变,直肠癌?这时候就要打问号了,是真正的增厚的肠管还是粪便。

     

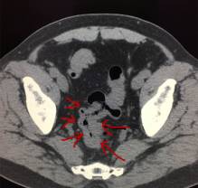
    这时候再看图5,同一个患者同一个部位,检查前清洁灌肠后,向肛门注入清水,可见直肠被充盈起来了,壁很薄,一点都没有增厚。所以如果单单就图4,很容易被误诊为直肠癌。这也正体现了做CT之前胃肠道准备的重要性。如果临床配合不好,做的不足,会影像CT的诊断结果。

     

    

    图6

     

    图6:这是图4患者的图像,向肛门注入清水,整个结肠充盈了清水后,壁薄,显示得一览无遗。

     

    腹部CT扫描时,很多临床医生怕麻烦,没有做胃肠道准备,这时候就给我们放射科的工作增加了难题,并且很容易导致误诊和漏诊。在放射科我们工作人员要求患者喝水的时候,也是为了提高病变的检出率,为患者着想。所以喝水,喝饱了没达到要求,还是需要喝的。

预约挂号 结果查询 举报邮箱 官方微博 官方微信
官方微信